Articles sobre la cura d'animals exòtics
Consulta els articles relacionats amb la cura dels animals exòtics i altres articles d’interès per als professionals veterinaris sobre aquest tipus de mascotes.
Xavier Valls al programa Obrim Fil de RTVE
Xavi Valls ha estat convidat al programa de Xavier Sardà ‘Obrim Fil’ de RTVE per parlar, com especialista veterinari en…
Entrevista a Xavier Valls
L’empresa de serveis de gestió estratègica i màrqueting digital Myvetpet Consulting entrevista Xavier Valls Badia, veterinari i consultor amb més…
Retenció de mudes a tortugues
Descobreix la importància de mantenir en bon estat la pell i la closca de les tortugues.
Per què vacunar als conills a l'estiu?
L'arribada de la calor provoca l'augment de mosquits, puces i paparres, per això recomanem la prevenció mitjançant la vacunació.
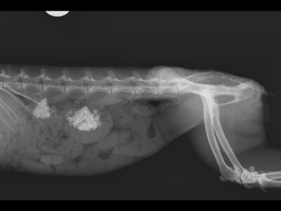
Radiografies de petits mamífers exòtics
En aquesta entrada podrem observar proves d'imatge realitzades a petits mamífers exòtics com a conills, fures i cobais.
Presa de mostra de sang en tortugues
Detallem a continuació les vies d’obtenció de mostres de sang en tortugues.Esperem que us sigui útil aquesta informació. Contactar
Lucía i la rotonda de Tarragona
Hi ha persones que tenen als animals, a les seves mascotes, com un més de la família. Un conill, un…
Gota en rèptils
En aquest article tractarem d'explicar què és la malaltia denominada Gota, com afecta als rèptils, i com podem evitar-la.
Combatre el cop de calor
Els conills, cobais i chinchillas, són animals que no toleren bé la calor, i una pujada de temperatura corporal pot…
Paràsits externs en saures
És freqüent que alguns rèptils pateixin paràsits externs i és el tema que es tractarà en aquest article.
Lorem ipsum dolor sit amet consectetur
Lorem ipsum dolor sit amet, consectetur adipiscing elit. Quisque nibh nisi, viverra id ullamcorper eget, tempor quis justo. Nulla sit amet tellus a lacus ornare viverra. Ut sagittis nunc tincidunt dui varius rhoncus. Lorem ipsum dolor sit amet, consectetur adipiscing elit. Cras lacinia commodo imperdiet.









