Anamnesis: Es tracta d’un Geco lleopard (Eublepharis macularius) femella de 61 grams de pes que menja menys de l’habitual. L’animal té un any de vida, viu sol i les condicions de manteniment i dieta són correctes. La propietària veu que l’animal va guanyant pes i té l’abdomen dilatat. (figures 1 i 2). L’exploració física revela un animal en correcte estat.
Diagnòstic: Presència de dos fol·licles preovulatoris en tots dos ovaris de l’animal.
Tractament: Es recomana esperar 2 setmanes per a veure si és capaç de realitzar la posada. Se li pauta modificacions del terrari perquè inclogui una zona amb terra i amagatalls per al fresi.
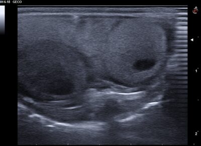
Seguiment: Porten el saure als 15 dies de la primera visita, segueix inflat i cada vegada menja menys, no han vist en el terrari la posada. Es realitza ecografia de control i s’observen 4 fol·licles preovulatoris, 2 d’ells hiperecogènics i 2 amb aspecte normal, i la típica imatge ecogènica amb centre circular hipoecogènic (figura 4).
Tractament: Es proposa la ovariectomia bilateral per a resoldre el problema distòcic.
Cirurgia: La cirurgia consisteix en realitzar una petita incisió de la pell paramedial per a evitar la vena abdominal ventral, s’exterioritzen els ovaris que contenen els fol·licles retinguts i es cauterizen els vasos que els nodreixen amb hemoclips o electrobisturí bipolar. Tanquem després la musculatura abdominal i la pell amb sutura no reabsorbible de 5/0 (figures 5-8).
Tractament postquirúrgic: Analgèsia amb meloxicam, antibioteràpia amb enrofloxacina, alimentació forçada amb farinetes Convalescence de Royal Canine®.

Fig 1. Geco lleopard (Eublepharis macularius)

Fig 2. Abdomen dilatat, s’observa per transparència de la paret abdominal la presència d’estructures groguenques a l’interior de la cavitat celòmica.

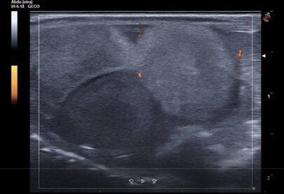
Fig 3. Fol·licles preovulatoris. S’aprecia el cercle anecogènic típic al seu interior (ecografia del dia de la primera visita)

Fig 4. Presència de fol·licles hiperecogènics (asteriscs) i fol·licles preovulatoris normals, normoecogènics i amb el cercle anecogènic al seu interior. Imatge d’ecografia de la segona visita.

Fig 5. Preparació del geco per la cirurgia (inducció amb Alfaxolona i Isoflurà)

Fig 6. Intubació i monitorització del pols mitjançant sonda Doppler

Fig 7. Exteriorització de l’ovari esquerra, amb un fol·licle preovulatori normal a l’esquerra de la imatge i un fol·licle en procés de reabsorció amb presència de vasos sanguinis a la superfície

Fig 8. Detall de col·locació d’un hemoclip en el pedicle d’un ovari d’un geco amb un ovari normal sense fol·licles preovulatoris

Fig 9. Geco recuperat després de la cirurgia